Bienvenue sur 3DTOTEM !

Si vous avez des questions sur nos services, n'hésitez pas à nous contacter via WhatsApp.

Discutons ensemble !
Nous venons de lancer une nouvelle offre !

Contentions orthodontiques sur-mesure Primo.

La stabilité à long terme de vos corrections orthodontiques repose sur des dispositifs de contention adaptés à chaque situation clinique. Primo fabrique des gouttières et fils collés de précision qui assurent le maintien des positions dentaires tout en respectant le confort et l'observance de vos patients.
MacBook mockup
un savoir-faire français, au service de votre activité

Nos dispositifs de contention orthodontique.

Gouttières thermoformées et fils collés pour stabiliser durablement vos corrections orthodontiques et garantir la satisfaction à long terme de vos patients.
BÉNÉFICES pour votre pratique

L'excellence Primo au service de la stabilité de vos cas.

Chaque dispositif de contention conçu au laboratoire est pensé pour allier efficacité clinique, confort patient et facilité d'utilisation au quotidien dans votre pratique.

Adaptation anatomique

Chaque gouttière reproduit fidèlement les surfaces dentaires issues de vos empreintes numériques. Extensions marginales ajustées et polissage des bords pour prévenir les irritations muqueuses.

Durabilité française

Polymères médicaux résistants à l'usure et fils certifiés biocompatibles. Fabrication dans nos ateliers français selon standards orthodontiques stricts pour longévité maximale.

Protocoles personnalisés

Contention totale ou partielle, découpes spécifiques, versions renforcées pour bruxomanes : nous respectons scrupuleusement votre prescription et les spécificités de chaque patient.

Renouvellement de commande simplifié

Vos empreintes restent archivées chez Primo. Remplacement en quelques clics sans nouvelle prise d'empreinte. Délai standard 5 jours, service express disponible.

Supports pour optimiser l'observance

Fiches d'instructions illustrées, protocoles d'entretien détaillés et conseils d'hygiène fournis systématiquement. Étuis de protection inclus pour faciliter le port quotidien.

Assistance pour vos équipes

Votre interlocuteur dédié répond à toutes vos questions techniques. Protocoles de pose pour fils collés, gestion des descellements et conseils cliniques disponibles en permanence.
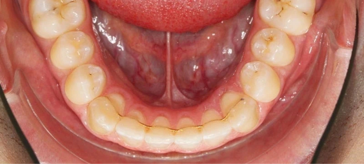
résultats cliniques

Pose sur vos patients de nos dispositifs de contention.

Gouttières transparentes et fils de contention fabriqués avec la précision Primo pour sécuriser durablement les résultats de vos traitements orthodontiques.

Joignez-vous à plus 1,5K+ praticiens qui ont choisi Primo pour leurs orthèses.

Plus qu'un laboratoire d'orthodontie, Primo est une véritable communauté de professionnels de l'orthodontie. Évènements, workshops, ateliers... abonnez-vous pour être informé sur nos prochains évènements !
Primo est partenaire de...